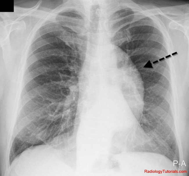
The calcium sign is a finding on a chest x-ray that suggests aortic...

If you are looking for Aortic Dissection | EM Cases | EM Cases Course you've visit to the right place. We have 8 Pics about Aortic Dissection | EM Cases | EM Cases Course like The calcium sign is a finding on a chest X-ray that suggests aortic... | Download Scientific Diagram, Aortic Dissection | EM Cases | EM Cases Course and also The calcium sign is a finding on a chest X-ray that suggests aortic... | Download Scientific Diagram. Here you go:

Aortic Dissection | EM Cases | EM Cases Course

Aortic Dissection | EM Cases | EM Cases Course emergencymedicinecases.com

aortic dissection grepmed

Chest Pain And... - Thebluntdissection

chest pain and... - thebluntdissection thebluntdissection.org

dissection chest findings cxr list aortic pain investigations thebluntdissection abnormal include remember important which ao

Aortic Dissection – Core EM

Aortic Dissection – Core EM coreem.net

aortic dissection mediastinum widened chest ray cxr cardiovascular myesr medbullets coreem core

Final Acute Aortic Syndrome = Dr Sanjiv

Final acute aortic syndrome = dr sanjiv www.slideshare.net

aortic mediastinum sanjiv syndrome widening

Aortic Dissection – Core EM

Aortic Dissection – Core EM coreem.net

dissection aortic mediastinum widened

The Calcium Sign Is A Finding On A Chest X-ray That Suggests Aortic... | Download Scientific Diagram

The calcium sign is a finding on a chest X-ray that suggests aortic... | Download Scientific Diagram www.researchgate.net

aortic ray calcium sign chest dissection finding calcification suggests figure publication

Chest Pain And... - Thebluntdissection

chest pain and... - thebluntdissection thebluntdissection.org

calcium sign chest double pain thebluntdissection wikiradiography courtesy

急診筆記: Aortic Dissection

急診筆記: Aortic Dissection er119test.blogspot.com

Calcium sign chest double pain thebluntdissection wikiradiography courtesy. Final acute aortic syndrome = dr sanjiv. Aortic dissection


Komentar

Postingan populer dari blog ini

Dissection aortic aorta stanford debakey lecturio descending diaphragm dissections extends iiib iiia

See the first photos of serena williams and alexis ohanian on their wedding day

Guide to the 2021 tokyo olympics tennis